Pioneering Nationwide Achievement | Qilu Hospital of Shandong University Precisely Treats Severe Tricuspid Regurgitation with K-Clip®, Opening a New Chapter in Interventional Therapy
Recently, led by the professor team of Chen Yuguo and Li Chuanbao, and with the assistance of ultrasound, anesthesiology, nursing and other multidisciplinary teams, the Emergency Department of Qilu Hospital of Shandong University successfully treated a patient with severe tricuspid regurgitation using the K-Clip® Transcatheter Tricuspid Vavle Annuloplasty System. Postoperatively, the patient's tricuspid regurgitation was significantly reduced, clinical symptoms were greatly improved, and the quality of life was markedly enhanced! The success of this procedure is not only a crucial step for domestic innovative medical devices in the field of complex lesions, but also reflects the emergency treatment capability of the Emergency Department of Qilu Hospital of Shandong University in the field of acute and critical cardiovascular diseases.

Patient's Condition
The patient is a 68-year-old female. Preoperative ultrasound indicated: 1. Rheumatic heart disease; 2. Mitral valve stenosis (mild) with regurgitation (mild); 3. Aortic valve regurgitation (mild); 4. Bilateral atrial enlargement; 5. Severe tricuspid regurgitation; 6. Mild pulmonary arterial hypertension.
Surgical Evaluation
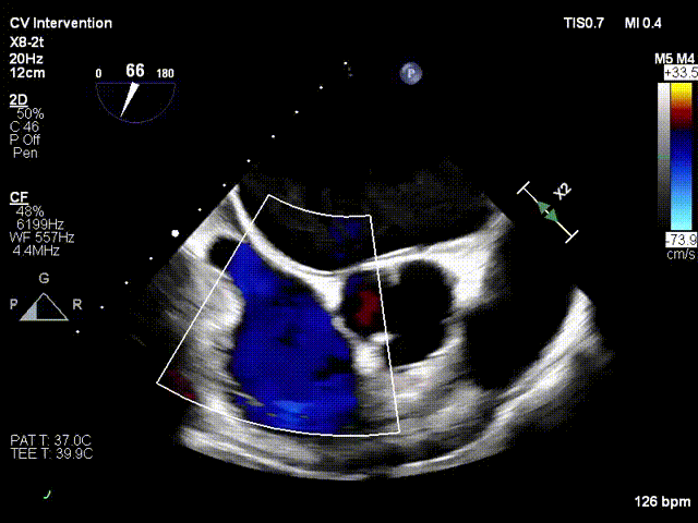
Ultrasound Evaluation: Severe tricuspid insufficiency (mean vena contracta 9mm), with the regurgitation orifice located at the anteroseptal commissure. The mechanism of regurgitation is myxomatous degeneration of the valve leaflets, accompanied by poor leaflet coaptation or reduced coaptation height. The mean diameter of the tricuspid annulus is 37mm. Echocardiographic evaluation confirmed that the anatomical structure is suitable for the K-Clip® system.

CTA Evaluation: Tricuspid annulus circumference: 13.9cm, area: 14.4cm², with low coronary artery risk.

Surgical Strategy
Based on the comprehensive preoperative CT and TEE evaluation of the patient's tricuspid annulus morphology and the primary regurgitation location at the central anteroseptal commissure, it was planned to implant one 12T K-Clip® device each at the posteroseptal commissure and the anteroposterior commissure of the tricuspid annulus. This approach is intended to reduce the annulus circumference and increase the leaflet coaptation margin, thereby alleviating tricuspid regurgitation.
Surgical Procedure
After the patient was placed under general anesthesia, the jugular vein was punctured intraoperatively to establish surgical access. An 18Fr delivery sheath was advanced along a stiff guidewire to the mid-inferior right atrium, and the delivery system was introduced under ultrasound guidance. A 12T K-Clip® device was implanted at the posterior annulus, and another 12T K-Clip® device at the anteroposterior annulus respectively. The angle between the device and the annulus plane was adjusted through catheter deflection and rotation, directing the tip of the clip device to the target position. The anchoring component was deployed into the annulus under ultrasound MPR mode; after confirming stable traction, the clamping arms were opened and apposed to the annulus, followed by retraction of the anchoring component to close the clamping arms for annuloplasty. The surgical effect was evaluated as satisfactory, and the clip components were then released.

The delivery system enters the mid-inferior RA via the SVC

Deployment of the anchoring component under the MPR view

Opening the clamping arms, adjusting the direction and apposing to the annulus

Releasing the clip after closure

Implanting the second clip at the anteroposterior commissure following the same procedure
Surgical Outcome
After implanting one 12T K-Clip® device at the commissure of the posterior and septal leaflets of the tricuspid valve and another 12T K-Clip® device at the commissure of the posterior and anterior leaflets, the overall area of the tricuspid annulus was reduced. Tricuspid regurgitation was decreased from severe (4+) preoperatively to moderate (2+), the regurgitation was effectively alleviated, the surgical effect met the expected goals, and the surgery was successfully completed.


Conclusion
The complete success of this procedure not only demonstrates the profound professional attainments and the determination to overcome challenges of the professor team of Chen Yuguo and Li Chuanbao in the field of interventional therapy for complex structural heart diseases, but also fully verifies the excellent applicability and effectiveness of the K-Clip® Transcatheter Tricuspid Valve Annuloplasty System in managing complex and highly difficult cases.
As a nationally renowned medical highland rooted in Qilu, Qilu Hospital of Shandong University has always carried forward the benevolent cultural heritage of this land, and engraved the spirit of the hospital motto "Uphold Morality in Medical Practice, Pursue Perfection in Professional Skills" in every clinical diagnosis and treatment practice. Especially in the field of structural heart disease diagnosis and treatment, the hospital's team has always upheld the medical practitioners' sense of responsibility, strived to climb the medical peaks, and constantly lit up the hope of rebirth for critically ill patients with more cutting-edge technological breakthroughs.
Expert Profile

Chen Yuguo
Qilu Hospital of Shandong University

Li Chuanbao
Qilu Hospital of Shandong University

K-Clip® Transcatheter Tricuspid Annuloplasty System
1. Transvascular puncture approach, minimally invasive, with an 18Fr outer sheath diameter.
2. Simple operation, all steps performed on the atrial side, short learning curve.
3. All steps reversible before deployment, ensuring controlled procedural outcomes.
4. Physiological annuloplasty technique, preserving native leaflets without damage.



