Pioneering Nationwide Achievement | Hu Yijie's Team at Army Medical Center Successfully Treats a Patient with Severe Tricuspid Regurgitation and Massive Annulus Using K-Clip®
Recently, the Cardiovascular Surgery Team led by Director Hu Yijie at the Army Medical Center successfully performed the hospital's first transcatheter tricuspid valve annuloplasty using K-Clip® on a 67-year-old male patient. Following the implementation of "transcatheter aortic valve replacement," "transcatheter mitral valve repair," and "transcatheter pulmonary valve replacement" techniques, the team has reached new heights, bringing a new minimally invasive option to patients with severe tricuspid regurgitation.
The patient was admitted due to worsening shortness of breath and fatigue upon activity, along with lower limb edema. Echocardiography revealed severe tricuspid regurgitation with a massively dilated annulus and partial leaflet tethering. After thorough multidisciplinary team (MDT) discussion and consideration of the patient's wishes, it was decided to perform K-Clip® transcatheter tricuspid valve annuloplasty to address the tricuspid regurgitation and correct heart failure. Thanks to the high-level surgical expertise of Cardiovascular Surgery Director Hu Yijie's team and the close cooperation of cardiac anesthesiologists, echocardiographers, and operating room staff, the procedure was successfully completed. Postoperatively, the patient's tricuspid regurgitation was reduced to mild, and heart failure symptoms significantly improved.

Patient Profile
- 67 years old, male
- Chief complaint: "Shortness of breath and fatigue upon activity for over 1 year"
- Transesophageal Echocardiography: 1. Tricuspid regurgitation (massive), pulmonary hypertension; 2. Aortic valve echo changes, mild regurgitation, considered degenerative; 3. Left atrium, right atrium, and right ventricle enlargement; 4. Decreased left ventricular diastolic function.
Preoperative Assessment
Echocardiographic Assessment:
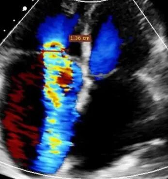
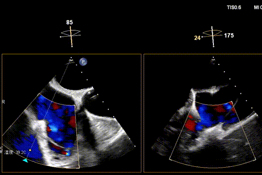
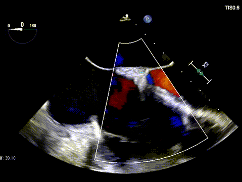
- Massive tricuspid regurgitation (5+, mean vena contracta 14mm);
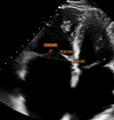
- Regurgitant orifices located at antero-septal, central, and postero-septal regions, with a significant gap at the antero-septal region (antero-septal gap 9.1mm), leaflet tethering (tethering height approximately 9mm);
- Tricuspid annular dilation (mean annulus diameter: 43mm);
- The patient is a challenging case.


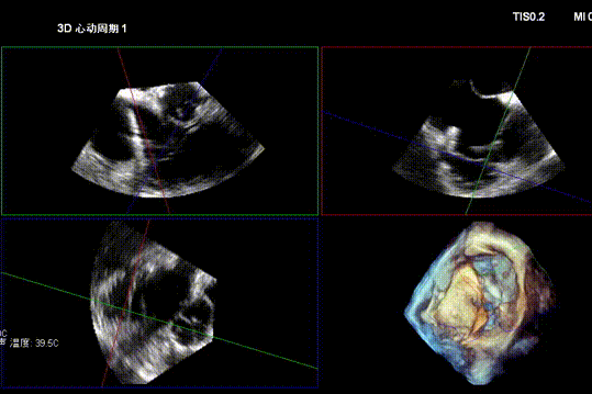
CTA Assessment:
- Tricuspid annulus circumference: 20.1cm, area: 31.7cm² (massive tricuspid annulus);
- Septal-lateral diameter: 63mm, antero-posterior diameter: 63mm;
- RCA: Closest distance to coronary artery measured during systole approximately 8.9mm. Left dominant type, distal right coronary artery not visualized;
- Optimal fluoroscopic projection: Tricuspid short axis CAU8LAO60.

Surgical Strategy
With profound knowledge of cardiac anatomy and extensive expertise in minimally invasive interventional cardiology, Dr. Hu Yijun’s cardiovascular surgery team, combined with preoperative ultrasound and multi‑dimensional CT imaging evaluation, as well as in‑depth analysis of cardiac valve anatomy, precisely formulated a personalized treatment plan. It was recommended to implant a 14T K-Clip® at the septal portion of the posterior leaflet and a 16T K-Clip® at the anteroposterior commissure.
Based on the core advantages of minimal invasiveness and precision of the K-Clip® technique, the team achieved accurate two‑site targeted implantation through refined manipulation. This approach effectively reduces the tricuspid annulus diameter and significantly improves leaflet coaptation, directly correcting tricuspid regurgitation at the anatomical root, and provides critical structural support for the patient’s smooth postoperative recovery.
Surgical Procedure
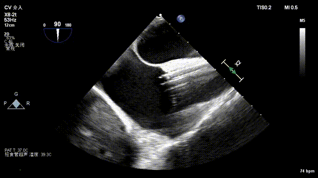
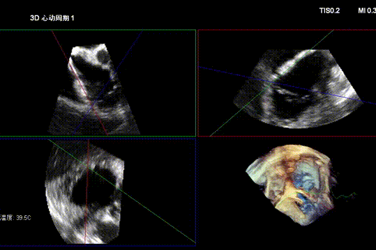
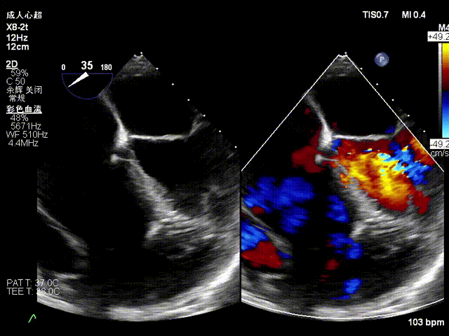
After general anesthesia, the patient underwent jugular vein puncture to establish access. An 18Fr delivery sheath was advanced over a super-stiff guidewire to the mid-to-lower right atrium. Under ultrasound guidance, the delivery system was introduced. A 14T K-Clip® and a 16T K-Clip® device were implanted at the postero-septal commissure annulus and the antero-posterior commissure annulus, respectively. The angle between the device and the annular plane was adjusted through controlled flexion and rotation to orient the device tip toward the target site. Using ultrasound MPR mode, the anchor component was advanced into the annulus. After traction confirmed stability, the clip arms were opened and apposed to the annulus. The anchor component was then retracted to close the clip arms, achieving annuloplasty. The effect was evaluated as satisfactory, and the clip components were deployed.

Delivery system entering RA via SVC

Advancing anchor component under MPR view


Opening clip arms, adjusting orientation, and apposing to the annulus


Closing the clip and evaluating effect under ultrasound


Second clip placed at postero-septal commissure using the same steps


Both clips stable

Surgical Outcome
1. Regurgitation Effect: Reduced from massive (5+) to moderate (2+).


Preoperative
Postoperative
2. Annuloplasty Effect:


Operator's Comments
This patient presented with severe-to-critical tricuspid regurgitation (5+), accompanied by severe annulus dilatation (mean diameter 43 mm, circumference 20.1 cm, area 31.7 cm²), as well as tethering of all valve leaflets (tethering height approximately 9 mm). This case was challenging due to its complex anatomical structure and high technical difficulty.
Conventional open surgery is associated with significant trauma and high risk, and the patient had a strong preference for minimally invasive treatment.
Faced with this special anatomy of a massively dilated annulus combined with leaflet tethering, our multidisciplinary team performed detailed preoperative ultrasound and CT three‑dimensional reconstruction analysis. We developed a personalized strategy: implanting a 14T clip at the septal portion of the posterior leaflet and a 16T clip at the anteroposterior commissure.
The core of the procedure lies in two‑site targeted implantation, which achieves annulus reduction while effectively improving leaflet malcoaptation caused by tethering.
Under real‑time ultrasound guidance, precise catheter steering, rotation, and anchoring were performed intraoperatively. The device was successfully delivered and stably anchored at the target annulus region.
Ultimately, the tricuspid annulus was significantly reduced, and regurgitation was downgraded from critical to mild‑to‑moderate.
The success of this procedure marks a substantial breakthrough for our hospital in the field of complex tricuspid intervention. It provides a safe and effective new minimally invasive option for high‑risk or anatomically challenging patients.
We will continue to accumulate experience and optimize workflows to extend the benefits of this technique to more patients suffering from valvular heart disease.

Expert Profile

Hu Yijie
Army Medical Center

K-Clip® Transcatheter Tricuspid Annuloplasty System:
1. Transvascular puncture approach, minimally invasive, with an 18Fr outer sheath diameter.
2. Simple operation, all steps performed on the atrial side, short learning curve.
3. All steps reversible before deployment, ensuring controlled procedural outcomes.
4. Physiological annuloplasty technique, preserving native leaflets without damage.



