Pioneering Nationwide Achievement|Yan'an People's Hospital Successfully Applies K-Clip® to Address Treatment Challenges in Elderly Heart Valve Patients
Recently, the structural heart team led by Director Bai Hongxing at Yan'an People's Hospital—including Chief Physician Wang Lijuan and Attending Physician Yao Long—successfully performed a transcatheter tricuspid valve annuloplasty (TTVR) for an elderly, high-risk patient with severe tricuspid regurgitation. The procedure was conducted under the collaborative technical guidance of Professor Han Ke (Department of Cardiology, The First Affiliated Hospital of Xi'an Jiaotong University), Professor Wang Shun (Department of Ultrasound, The First Affiliated Hospital of Xi'an Jiaotong University), and Professor Cheng Kang (Department of Cardiology, Xi'an People's Hospital).
The procedure was performed precisely via the right internal jugular vein approach to accomplish the repair and annuloplasty of the diseased valve annulus. It featured minimal trauma, accurate manipulation, and rapid postoperative recovery, providing a safe, effective and novel minimally invasive therapeutic option for patients with severe valvular heart disease who have high risks or contraindications to conventional open-heart surgery.
The successful implementation of this procedure not only marks a key technological breakthrough for Yan’an People’s Hospital in the field of minimally invasive interventional treatment for valvular heart disease, but also successfully fills the technical gap in tricuspid valve intervention in northern Shaanxi. It elevates the precision diagnosis and treatment of valvular heart disease in the region to a new level and brings benefits to more patients with severe valvular heart disease in the local and surrounding areas.


Patient Background
The patient is a 78-year-old male with a chief complaint of "chest tightness and shortness of breath for over 10 years, recurring for half a month." Admission diagnoses include:
1. Acute exacerbation of chronic cardiac insufficiency, atrial fibrillation, severe tricuspid regurgitation with massive regurgitation;
2. Coronary atherosclerotic heart disease, exertional angina pectoris, status post coronary stent implantation, NYHA Class III;
3. Old cerebral infarction.
Preoperative Evaluation
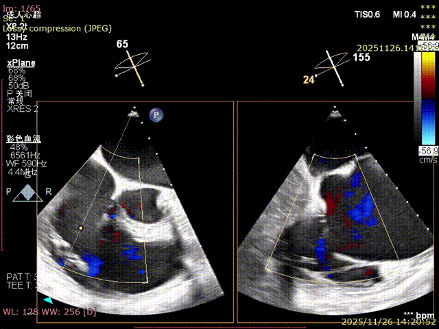
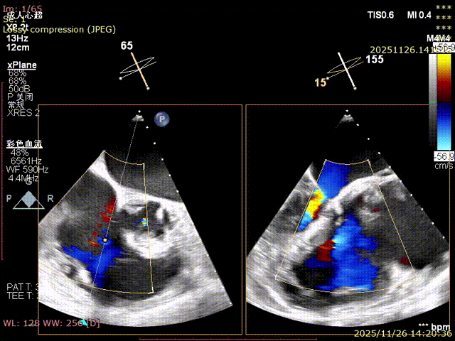
Echocardiography Findings: Severe tricuspid regurgitation (4+), with regurgitation jets primarily located at the postero-septal and central regions. The tricuspid annulus is dilated (annulus diameter: 42 mm).


CT findings: The tricuspid annulus has a circumference of 147 mm and an area of 1676 mm². The shortest distance between the right coronary artery and the annulus during systole is 1.35 mm. After comprehensive evaluation, the surgical team decided to anchor the first clip at the posteroseptal commissure, which differs from the conventional posterior‑septal leaflet position, thereby reducing the risk of intraoperative coronary artery distortion.

Surgical Strategy
Dual-clip strategy:
- First clip: 12T (positioned toward the postero-septal commissure, approximately at 4–5 o'clock)
- Second clip: 16T (positioned toward the antero-posterior commissure, approximately at 8 o'clock)
Surgical Procedure

Delivery sheath advanced into the right atrium

Advancement of the delivery system into the right atrium

First clip:
The clip is directed toward the annulus (septal side)

Anchor deployed into the annulus

Open the clip and adjust the clock orientation

Annulus plication, clip closure

Once satisfactory results are confirmed, the clip is released

Angiography confirmed that the right coronary artery was not affected
After releasing the first clip, the surgical team conducted a comprehensive evaluation and found that tricuspid regurgitation was significantly improved beyond expectations. Therefore, it was decided not to implant a second clip.
Surgical Outcome
Preoperative

Regurgitation: 4+

3D image

Annulus area: 16.2 cm²
Postoperative

Mild regurgitation (1+)

3D image

Annular area: 11.0 cm² (1100 mm²)
Summary
For patients with severe functional tricuspid regurgitation, the cardiovascular team developed a personalized strategy through multidisciplinary consultation and innovatively applied the K-Clip® Transcatheter Tricuspid Annuloplasty System. Intraoperatively, transesophageal echocardiography (TEE) combined with digital subtraction angiography (DSA) was used for imaging guidance. A precise access was established via the right internal jugular vein, and the K-Clip® device was delivered to the tricuspid annulus in the right atrium. After multi‑dimensional imaging localization and confirmation, accurate annuloplasty of the posteroseptal commissure (P‑S commissure) was successfully completed.
Immediate postoperative echocardiographic evaluation showed that tricuspid regurgitation was reduced from severe (4+) to mild (1+), with a 30% reduction in annulus area. No adverse events such as atrioventricular block, valve laceration, or cardiac tamponade occurred intraoperatively or postoperatively. Concurrent right coronary angiography confirmed no compression or distortion of the coronary artery course and normal blood flow perfusion. The patient recovered smoothly after the procedure, and right heart failure symptoms were significantly improved at discharge.
Technological Breakthrough
Minimally Invasive Intervention Establishes a New Standard for Valve Function Remodeling
K-Clip® technology simulates the principle of surgical Kay’s annuloplasty. It achieves tricuspid annuloplasty via the internal jugular vein approach, reducing the circumference and area of the tricuspid annulus to improve leaflet coaptation and decrease regurgitation.
For elderly patients with severe tricuspid insufficiency, especially those with long‑standing atrial fibrillation, previous left‑sided heart valve surgery, and who cannot tolerate open surgery, it provides a highly effective and safe solution, making it one of the landmark breakthroughs in the field of structural heart intervention in recent years.
Regional Demonstration
A New Practice of Delivering High-Quality Medical Resources to Local Communities
The success of this procedure marks that cardiovascular interventional technology at Yan’an People’s Hospital has advanced to the provincial leading level. As the first municipal hospital in northern Shaanxi to perform such operations, its experience will provide a model for medical institutions in surrounding counties to build an integrated diagnosis and treatment network of “screening–referral–treatment–follow-up”.
The Director of the Department of Cardiology at Yan’an People’s Hospital stated:
“We will continue to deepen cooperation with top cardiovascular centers at home and in the province, promote the iterative upgrading of interventional technologies for structural heart disease, and enable people in the old revolutionary base areas to access high-quality medical services up to international standards close to home.”
The complete success of this operation is not only a practical achievement of technological innovation, but also a vivid footnote to the implementation of the Healthy China strategy in the old revolutionary base areas.
Expert Profile

Kang Cheng
Xi’an People’s Hospital

Hongxing Bai
Yan'an People's Hospital

Lijuan Wang
Yan'an People's Hospital

Lei Jing
Yan'an People's Hospital

K-Clip® Transcatheter Tricuspid Annuloplasty System
1. Transvascular puncture approach, minimally invasive, with an outer sheath diameter of 18 Fr.
2. Simple operation, all procedures completed on the atrial surface, short learning curve.
3. All steps are reversible before detachment, ensuring controllable surgical outcomes.
4. Physiological annuloplasty technique, no damage to native valve leaflets.



