Among the first batch in China! Jiangsu Provincial People's Hospital has achieved complete success in treating a patient with extremely severe tricuspid regurgitation using K-Clip®.
Recently, Professor Sun Wei and Professor Zhang Hao , together with echocardiography expert Professor Yong Yonghong, all members of Professor Kong Xiangqing’s team in the Department of Cardiology at Jiangsu Province Hospital, successfully performed K-Clip® transcatheter tricuspid valve annuloplasty on a patient with severe tricuspid regurgitation. The patient's regurgitation symptoms improved significantly immediately after the procedure, with an excellent surgical outcome, opening up a new safe and effective minimally invasive treatment pathway for high-risk patients with valvular heart disease.

The tricuspid valve is often overlooked as a "blind spot for heart valves" in clinical practice. The diagnosis and treatment of severe tricuspid regurgitation has long been a major challenge in the field of cardiovascular medicine. This condition progressively increases right ventricular volume overload, leading to refractory right heart failure accompanied by a series of symptoms such as lower extremity edema, chest tightness, dyspnea, and a sharp decline in exercise tolerance, posing a serious threat to patients’ lives and health. Moreover, conservative medical treatment yields limited efficacy and cannot fundamentally reverse valvular regurgitation. For critically ill patients with multiple underlying heart diseases, traditional open-chest surgery is associated with significant trauma, high risks, and slow postoperative recovery. Many such patients are ineligible for surgery due to poor physical tolerance, further exacerbating the difficulty of treatment.
The Structural Heart Disease Team of the Department of Cardiology at Jiangsu Provincial People's Hospital rose to the challenge and precisely overcame the barriers in the diagnosis and treatment of complex cases. The team successfully performed K-Clip® transcatheter tricuspid valve annuloplasty on a patient with severe tricuspid regurgitation who also had persistent atrial fibrillation, coronary heart disease, and severe lower extremity edema. Based on minimally invasive interventional techniques, this procedure requires neither thoracotomy nor cardiopulmonary bypass. With its advantages of minimal trauma, rapid recovery and high safety, it has broken many limitations of traditional treatments and opened up a brand-new therapeutic pathway for patients with complex and severe tricuspid regurgitation.
The successful implementation of this procedure not only demonstrates the hospital's cutting-edge technical capabilities in the minimally invasive diagnosis and treatment of structural heart disease, but also provides replicable and scalable clinical treatment experience for similar cases of severe tricuspid regurgitation with multiple comorbidities in Jiangsu Province and even across China, helping to push minimally invasive diagnosis and treatment technologies for valvular heart disease to new heights.
Patient Profile
The patient is an 81-year-old male with a chief complaintof bilateral lower extremity edema for 1 month, aggravated for 4 days.Admission diagnoses:
1.Lower extremity edema.
2.Coronary atherosclerotic heart disease.
3. Aortic dissection (postoperative).
4.Hypertension.
5.Hyperlipidemia.
6. Severe tricuspid regurgitation.
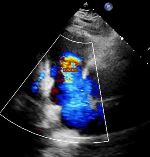
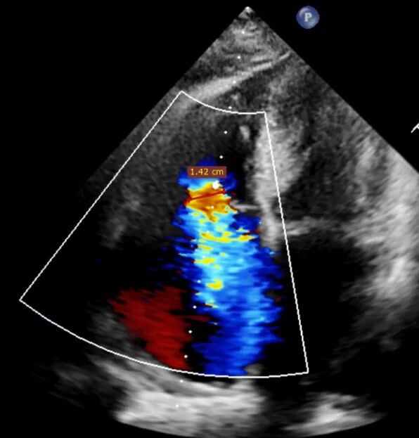
Preoperative echocardiographic evaluation: severe tricuspid regurgitation (grade 5+).


Preoperative CT assessment: area 1570 mm², circumference 148.9 mm.

Surgical Strategy
Following a comprehensive multi-dimensional evaluation by the cardiology team at Jiangsu Provincial People's Hospital, and in consideration of the patient's tricuspid valve lesion characteristics and anatomical structure, a precise surgical plan of dual-clip K-Clip® implantation was formulated to achieve optimal therapeutic outcomes. A 12T K-Clip® was implanted at the posterior tricuspid annulus, and a 14T K-Clip® was implanted at the anteroposterior commissure. Through precisely positioned dual-point implantation, this procedure effectively reduces the tricuspid annulus area and enhances leaflet coaptation, directly alleviating tricuspid regurgitation at the anatomical level and laying a critical foundation for the patient's postoperative recovery.
Surgical Procedure
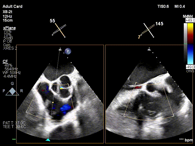
1. Preoperative baseline regurgitation


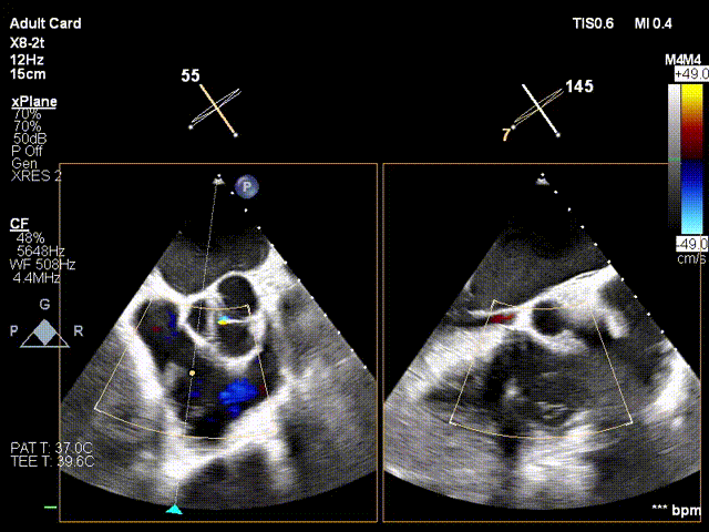
2. Steer and rotate the delivery system toward the target; advance and deploy the anchoring screw under 3D MPR plane guidance


3. After adjusting orientation, position the clamping arms for landing


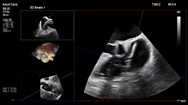
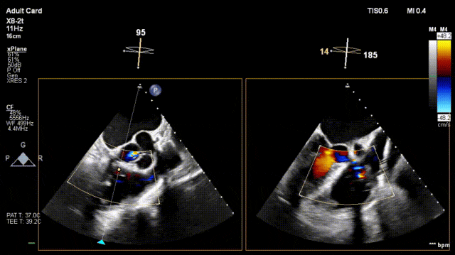
4. The same procedure is performed for the second clip; the clip morphology is stable under ultrasound


Surgical Outcome Assessment
Regurgitation assessment: Regurgitation severity reduced from preoperative 5+ to 1+.




Annuloplasty effect: The tricuspid annulus area decreased from 13 cm² preoperatively to 7 cm².


Summary
The successful application of the minimally invasive K-Clip® technique in this complex and severe tricuspid regurgitation case represents another important practice by Jiangsu Provincial People's Hospital in deeply advancing the diagnosis and treatment of cardiovascular diseases and tackling difficult and severe conditions. For critically ill patients with multiple comorbidities and limited conventional treatment options, the hospital team successfully overcame clinical treatment challenges with exquisite minimally invasive techniques, rigorous diagnosis and treatment plans, and the advantages of multidisciplinary collaboration, effectively relieving the patient's pain and improving their quality of life. In the future, the hospital will continue to focus on cutting-edge technologies in the cardiovascular field, constantly optimize minimally invasive diagnosis and treatment protocols, and pursue standardized and precise treatment for structural heart disease. With more advanced technologies and higher-quality services, it will safeguard the cardiac health of patients and help continuously elevate the level of cardiovascular diagnosis and treatment in the region.

Expert Profile

Sun Wei
Jiangsu Provincial People's Hospital

Zhang Hao
Jiangsu Provincial People's Hospital

Yong Yonghong
Jiangsu Provincial People's Hospital

K-Clip® Transcatheter Tricuspid Annuloplasty System:
1.Vascular puncture approach with minimal trauma and an 18Fr outer diameter sheath.
2.Simple operation, all procedures completed at the atrial surface, with a short learning curve.
3.All procedural steps are reversible before detachment, enabling controllable surgical outcomes.
4.Physiological annuloplasty technology that preserves the native valve leaflets without damage.



