Professor Wang Lanlin from Sichuan Science City Hospital Achieves Complete Success in First Application of K-Clip® in Treating a Patient with Severe Tricuspid Regurgitation
Recently, under the leadership of Professor Chen Chen, Director of the Department, Professor Wang Lanlin from Sichuan Science City Hospital successfully applied the K-Clip® Transcatheter Tricuspid Valve Annuloplasty System to treat a patient with severe tricuspid regurgitation. Postoperatively, the patient's tricuspid regurgitation was significantly reduced, clinical symptoms were greatly improved, and quality of life was notably enhanced.


Patient Profile
The patient is an 88-year-old male admitted with a chief complaint of recurrent precordial discomfort for 18 years and chest pain for 3 days.
Present Illness: Eighteen years prior to admission, the patient developed recurrent precordial discomfort without obvious inducement, characterized by mild chest tightness and oppression. Symptoms were relieved by activity or distraction, accompanied by occasional palpitations. He was hospitalized multiple times at Sichuan Science City Hospital for comprehensive examinations, and diagnosed with coronary heart disease, atrial fibrillation (status post radiofrequency ablation), and severe tricuspid regurgitation. He was discharged in improved condition after symptomatic treatment. Three days before admission, the patient experienced recurrent chest pain, predominantly nocturnal, presenting as persistent oppressive sensation. The chest pain was significantly aggravated by activity. He was admitted for further treatment.
Post-admission Diagnoses:
1.Unstable angina pectoris.
2.Coronary atherosclerotic heart disease
3.Persistent atrial fibrillation, status post radiofrequency ablation
4.Chronic heart failure
5.Severe tricuspid regurgitation
Preoperative Evaluation
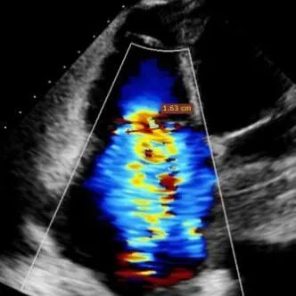
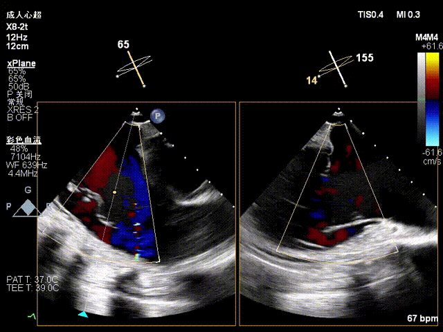
Echocardiographic findings indicated: Type IIIB quadrileaflet tricuspid malformation with extremely severe tricuspid regurgitation (5+, vena contracta: 16.1 mm on average). Regurgitant orifices were located at the anterior-septal, central, and posterior-septal regions, with a 11 mm central gap, leaflet tethering (tethering height: 10 mm), and tricuspid annular dilatation (mean annular diameter: 53 mm). The inferior vena cava diameter was approximately 25 mm, and RV FAC was 40%.






CTA examination revealed an annular area of 23 cm², indicating severe annular dilatation.
Surgical Strategy
Based on comprehensive evaluation of preoperative CT and echocardiography, the patient presents with severe tricuspid annular dilatation and leaflet tethering. Tricuspid regurgitation originates mainly from the mid-posteroseptal and anteroseptal regions. The distance from the free edge to the posterior annulus was 25 mm, with an RCA‑TA distance <3 mm (closest: 1.4 mm). The procedure is technically challenging. It is planned to deploy a 14T K-Clip® at the posterior annulus and a 16T K-Clip® at the anteroposterior annulus to reduce the annular circumference and increase leaflet coaptation, thereby reducing tricuspid regurgitation.

Operative Procedure
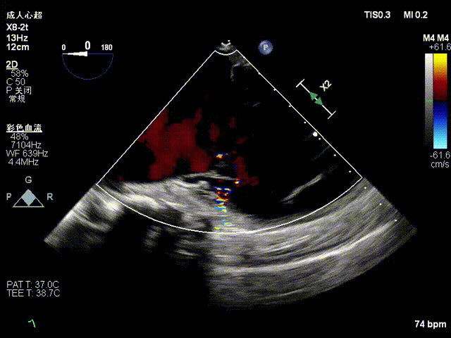
After induction of general anesthesia, the jugular vein was punctured for vascular access, with one Proglide pre-deployed. An 18Fr delivery sheath was advanced over a stiff guidewire to the mid-right atrium. Under echocardiographic guidance, the delivery system was introduced. A 14T K-Clip® and a 16T K-Clip® were deployed at the posterior annulus and anteroposterior annulus, respectively.The angle between the device and the annular plane was adjusted by steering and rotation to direct the device tip toward the target. The anchoring component was implanted at the annulus under echocardiographic MPR guidance. After stable traction, the clamping arms were opened and apposed to the annulus. The anchoring component was then retracted to close the clamping arms and achieve annular plication. Intraoperative assessment demonstrated satisfactory procedural results. The delivery system was disconnected and removed.


The delivery system was advanced into the right atrium (RA) via the superior vena cava (SVC)
Adjust the delivery system toward the target position


The anchoring component was deployed under the MPR view
The clamping arms were opened, adjusted for orientation, and then apposed to the tricuspid annulus


Close the clamping arms to reduce the tricuspid annulus
Deploy the second clip


Determine the screw driving point at the Hinge under MPR
Confirm the orientation of the second clip


Close the second clip
Coronary blood flow grade 3 confirmed by DSA angiography
Surgical outcome
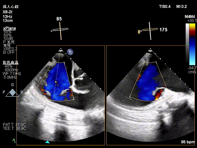
One 14T K-Clip® was implanted at the junction of the posterior and septal annuli of the patient's tricuspid valve, and one 16T K-Clip® was implanted at the junction of the posterior and anterior annuli. The overall annular area was reduced by 45%. Leaflet coaptation was improved, and regurgitation was effectively reduced from severe preoperative to moderate. The overall surgical outcome exceeded expectations, and the procedure was successfully completed.


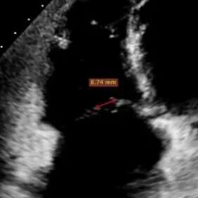
Preoperative annulus area: 20.6 cm²
After implantation of two clips, the annulus area is 11.8 cm²


Baseline regurgitation after anesthesia
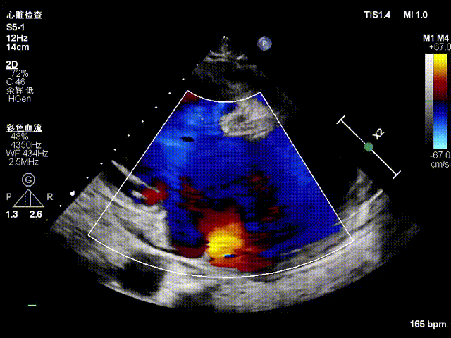
Postoperative regurgitation
Summary
Professor Wang Lanlin successfully employed a dual‑clip strategy with K-Clip® to reduce regurgitation in a patient with severe tricuspid regurgitation. This globally leading tricuspid valve treatment technique is an interventional modification of the classic surgical annuloplasty. By cinching the tricuspid annulus to promote leaflet coaptation, it increases the coaptation area and thereby alleviates tricuspid regurgitation. In the future, this technology is bound to benefit more patients suffering from tricuspid regurgitation.

Expert Profile

Chen Chen
Sichuan Science City Hospital

Wang Lanlin
Sichuan Science City Hospital

K-Clip® Transcatheter Tricuspid Annuloplasty System:
1.Vascular puncture approach with minimal trauma and an 18Fr outer diameter sheath.
2.Simple operation, all procedures completed at the atrial surface, with a short learning curve.
3.All procedural steps are reversible before detachment, enabling controllable surgical outcomes.
4.Physiological annuloplasty technology that preserves the native valve leaflets without damage.


