Director Zhang Qiubing's Team at Guangyuan Central Hospital Successfully Performs the First Transcatheter Tricuspid Valve Annuloplasty Using K-Clip®
Recently, Professor Zhang Qiubing's team at Guangyuan Central Hospital successfully treated a patient with severe complex tricuspid regurgitation in close proximity to the coronary arteries using the K-Clip® system. Preoperatively, the patient's coronary arteries coursed at the junction of the anterior and posterior tricuspid leaflets, with the middle segment of the posterior leaflet aligned with the annulus. Through precise intraoperative coordination of DSA and transesophageal echocardiography, the operators successfully avoided coronary artery risks and achieved outcomes exceeding expectations.

The tricuspid annulus has a close anatomical relationship with the course of the right coronary artery. The right coronary artery (RCA) runs along the tricuspid annulus and, in most cases, is located on the atrial side of the tricuspid annulus. At the annulus of the anterior tricuspid leaflet, the RCA mostly courses on the atrial side of the annulus; at the annulus of the posterior leaflet, the RCA is roughly at the same level as the tricuspid annulus. Therefore, during tricuspid-related procedures (such as tricuspid annuloplasty, radiofrequency ablation, etc.), special care must be taken to avoid injury to the RCA and its branches, which could otherwise lead to severe complications including myocardial ischemia, arrhythmias, and even cardiogenic shock.
In this case, preoperative CT evaluation revealed that the closest distance between the RCA and the tricuspid annulus during systole was approximately 2.2 mm, with the closest point located at the posterior tricuspid leaflet. The RCA was also in close proximity to the anterior‑posterior commissure of the tricuspid valve. This information is particularly critical for preoperative strategy planning: selecting an undersized clip system may result in insufficient regurgitation reduction, whereas an oversized device may cause displacement of the coronary artery, and in severe cases, compromise coronary blood supply.
Patient Profile
The patient is a 73-year-old elderly male who presented with a chief complaint of "chest tightness and shortness of breath for more than 3 years, aggravated with bilateral lower extremity edema for 2 months". He reported recent onset of chest tightness and shortness of breath without obvious predisposing causes, which were significantly exacerbated after activity. He was previously diagnosed with "coronary heart disease and heart failure" at a local hospital and had been on long-term medication. Two months before admission, his above symptoms worsened, accompanied by decreased exercise tolerance, abdominal distension and bilateral lower extremity edema. He then presented to the outpatient clinic of Guangyuan Central Hospital for further diagnosis and treatment. After admission, complete cardiac color Doppler ultrasound (left ventricular function + tissue Doppler + ventricular wall motion analysis) was performed. Routine cardiac findings: Bilateral atrial enlargement、Slightly dilated ascending aorta、Severe tricuspid regurgitation、Mild-to-moderate mitral regurgitation、Mild aortic and pulmonary regurgitation、Normal left ventricular systolic function、Cardiac arrhythmia. Admission diagnoses:1.Admission diagnoses:severe tricuspid regurgitation, mild-to-moderate mitral regurgitation, atrial fibrillation, chronic heart failure, NYHA functional class Ⅲ.2.Coronary atherosclerosis.3.Hyperlipidemia.4.Lumbar disc herniation.
Following multidisciplinary consultation, K-Clip® transcatheter tricuspid annuloplasty was scheduled electively.
Preoperative Evaluation
Preoperative CT: Tricuspid annulus: circumference 15.6 cm, area 18.8 cm², maximum diameter 53.2 mm, septolateral diameter 48 mm, anteroposterior diameter 51 mm.
The closest distance of the RCA measured during systole was approximately 2.2 mm. The proximal segment of the right coronary artery was oriented toward the atrial surface, while its middle segment was at the same plane as the tricuspid annulus.

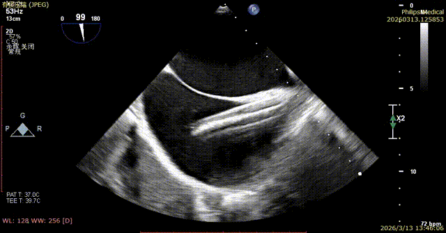
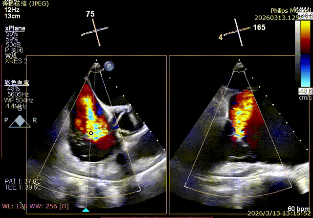
Preoperative echocardiographic evaluation: Severe tricuspid regurgitation (4+, average vena contracta 12 mm), with the regurgitant orifice located at the anteroseptal and central regions. Mild dilatation of the tricuspid annulus (average annulus diameter 41.8 mm).


Transesophageal echocardiography upon admission showed regurgitant jets at the anteroseptal and central regions.

Admission leaflet morphology assessment: no myxoid degeneration, no prolapse, and no leaflet tethering.

Formulation of Surgical Strategy
Intraoperatively, the anteroposterior commissure may compromise the RCA lumen. Device selection was as follows:
- 14T (blue) clip for posterior‑septal commissure (clip arm length 28 mm).
- 14T (green) clip for anteroposterior commissure (clip arm length 28 mm).
Although a 16T clip arm could be used for the dilated annulus, a 14T clip was chosen for attempted deployment in consideration of coronary artery risk.

Case Characteristics
1. Preoperative CT evaluation revealed that the patient's right coronary artery trunk ran flush with the tricuspid annulus. Since K-Clip® transcatheter tricuspid annuloplasty is an annuloplasty procedure, the traction exerted on surrounding tissues during annuloplasty may affect the coronary artery course and cause deformation. Therefore, preoperative surgical planning is crucial. Adjustment of the clipping position and selection of the appropriate clip size are key to ensuring postoperative outcomes. With the operator's intraoperative decision-making and the combined use of DSA and transesophageal echocardiography, the procedure was completed with results exceeding expectations.
2.The patient's condition progressed gradually, requiring early intervention for tricuspid regurgitation. Early targeted diagnosis and treatment is critical. Without intervention, the underlying cause cannot be effectively controlled, which may induce symptoms of right heart failure, including severe edema, ascites, hepatomegaly, renal insufficiency, and dyspnea, as well as reduced cardiac output and inadequate systemic organ perfusion.

Brief Introduction to the Surgical Procedure
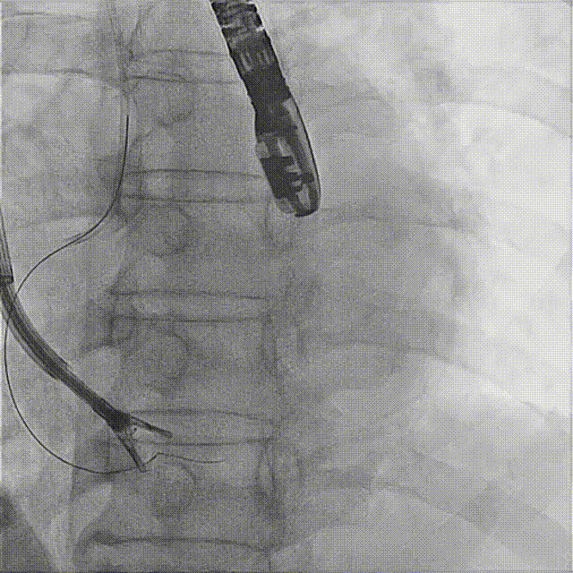
K-Clip® Tricuspid Annular Repair: Access was established via jugular vein puncture. An 18Fr delivery sheath was advanced along the stiff guidewire to the middle and inferior segments of the right atrium, and the delivery system was inserted under ultrasound guidance. The angle between the device and the annulus plane was adjusted by steering and rotation, directing the tip of the clip device toward the target sites (standard targets: No. 1: posterior‑septal commissure; No. 2: anterior‑posterior commissure). Under the ultrasound MPR‑MultiVue mode, the anchoring component was deployed at the tricuspid annulus. After stable traction, the clip arms were opened under a three‑dimensional surgical view, with orientation adjusted to appose the annulus. The anchoring component was then retracted to close the clip arms, accomplishing annular reduction. Following satisfactory procedural assessment, the clip device was released.
Review of the Surgical Procedure
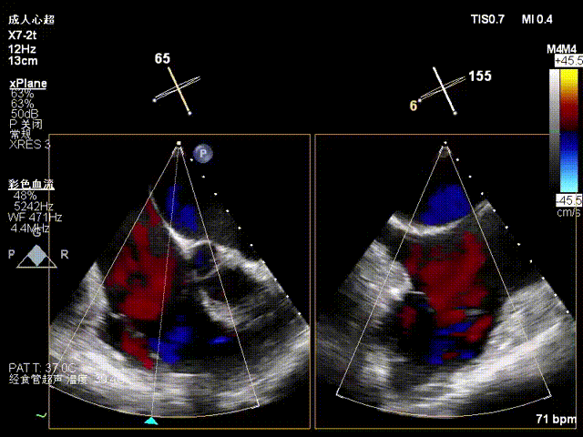
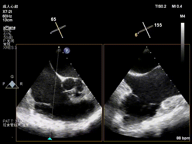
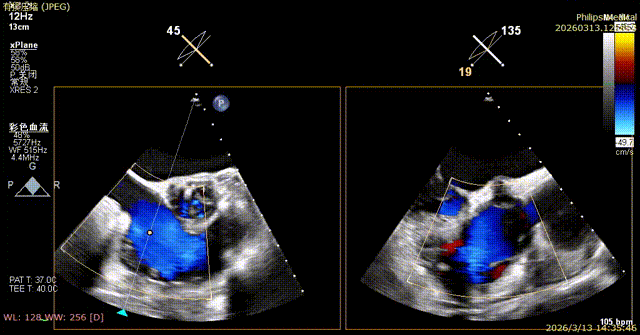
1. The first 14T device was positioned under the mid-esophageal bicaval view on TEE, and the tip of the delivery catheter was observed to point to the posterior-septal commissure of the tricuspid valve using 3D mode.


2. Under 3D mode switched to MPR-MultiVue mode, the trajectory was adjusted to anchor the tricuspid annulus.

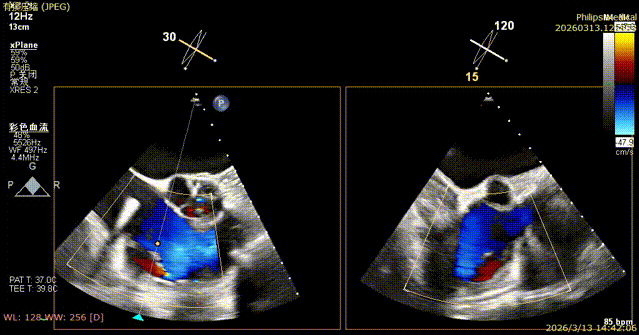
3. The pull test was completed under MultiVue mode.

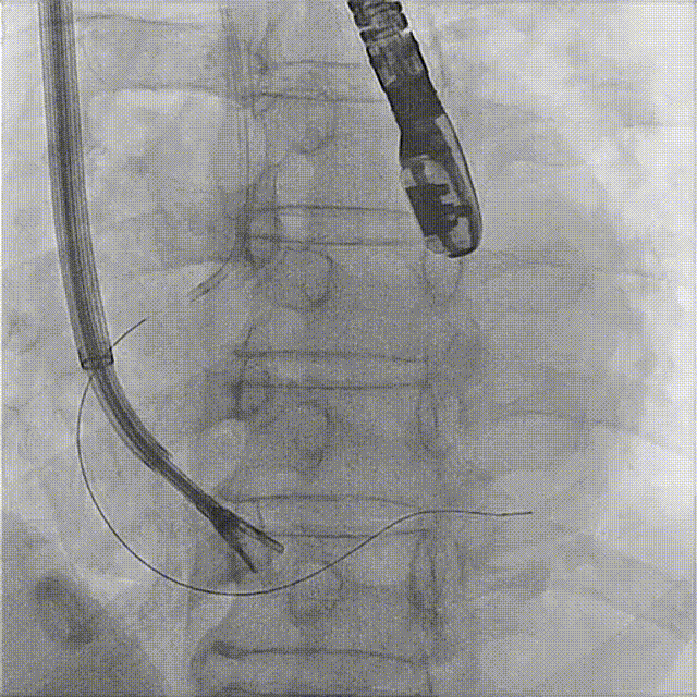
4. After opening the clipping component, the orientation was adjusted under 3D mode.

5. Apposition to the tricuspid annulus under 3D mode.

6. Under the guidance of MultiVue mode and DSA, the anchoring pull rod was retracted and the clipping component was closed to complete the clip application.

7. Coronary artery course and blood supply were evaluated under DSA (the course of the coronary artery was altered, but blood supply remained normal).
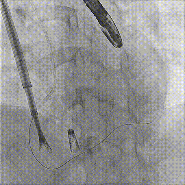
The first clip was initially implanted at the posterior‑septal commissure, which resulted in deformation of the coronary artery course. The first clip was released and repositioned toward the septal leaflet, with the clip arms opened to cross the posterior‑septal commissure before re‑implantation.
Initial DSA after clipping indicated compromised blood supply. The clip was therefore released, repositioned, and redeployed.

The second clip was deployed toward the septal leaflet, crossing the posterior‑septal commissure and positioned flush with the tricuspid annulus.

8. A second 14T device was selected and deployed following the same procedure.





During implantation of the second clip, anchoring was performed at the annulus near the leaflet base. Intraoperative DSA showed no impact on the coronary arteries, and good right coronary perfusion was confirmed after deployment.

Surgical Outcomes
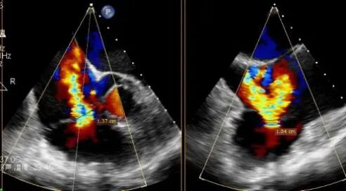
Comparison of Regurgitation Before and After Surgery
Baseline preoperative regurgitation


Postoperative regurgitation baseline


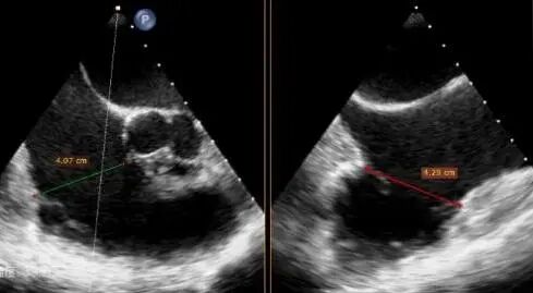
Comparison of Tricuspid Annular Area After Annuloplasty
Preoperative tricuspid annular area: 15.6 cm²

Postoperative tricuspid annular area: 7.68 cm²

Following annuloplasty, leaflet coaptation was improved compared with the preoperative state, and regurgitation was reduced from severe to trivial.
Operator Comments
1. The tricuspid annulus was significantly reduced, and the degree of regurgitation was reduced from severe to trivial, with a marked improvement in regurgitation. Although the coronary artery course was somewhat affected intraoperatively, blood supply remained normal. For patients at high coronary risk with concomitant tricuspid regurgitation, the outcome exceeded expectations and successfully alleviated the patient’s burden.
2. Thorough preoperative evaluation of the patient's imaging studies and anticipation of various potential intraoperative risks are key factors for a successful patient procedure. Team collaboration has achieved outcomes beyond expectations, which poses challenges to both team development and coordination. By pushing boundaries and applying technical expertise, we deliver benefits to patients.
3. The tricuspid valve has long been referred to as the "forgotten valve". With the maturation of technology, clinical strategies have evolved from single conservative medical treatment to a diversified interventional system encompassing repair, annuloplasty, and replacement. The application of K-Clip® transcatheter tricuspid annuloplasty has brought new hope for the diagnosis and treatment of patients with functional regurgitation.For symptomatic patients at high surgical risk with suitable anatomical conditions who remain symptomatic despite optimal medical therapy, transcatheter tricuspid valve annuloplasty (TTVA) can improve quality of life and right ventricular remodeling, provided there is no severe right ventricular dysfunction or precapillary pulmonary hypertension on thorough evaluation. The TTVA technique has thus become an effective approach in our clinical management of such patients.
4.Postoperative TR repair results in significant improvement in the patient's cardiac function and peripheral edema, with the potential for NYHA functional class to be reduced to Class I.
Expert Profile

Qiubing Zhang
Guangyuan Central Hospital

K-Clip® Transcatheter Tricuspid Annuloplasty System:
1.Vascular puncture approach with minimal trauma and an 18Fr outer diameter sheath.
2.Simple operation, all procedures completed at the atrial surface, with a short learning curve.
3.All procedural steps are reversible before detachment, enabling controllable surgical outcomes.
4.Physiological annuloplasty technology that preserves the native valve leaflets without damage.



